Parkinson's Association of SWFL
  • Home
    • Hurricane Resources
  • Living Well with PD
    • Living Well with PD Parksinsons Awareness
    • PD 101 Free Sign Up Learn More
    • April is Parkinson's Awareness Month
    • Start Here for the Newly Diagnosed
    • Community Resources >
      • Community Support Initiatives
      • Movement Disorder Specialists and Neurologists
      • Additional Classes in SWFL for PD
      • Additional SWFL resources for PD
    • Participate in a PD Study
    • Articles & Research on PD >
      • GOLF COURSE PROXIMITY AND INCREASED RISK FOR PD
      • Social Support Improves PD Symptoms
      • Exercise Improves PD Outcomes
      • Genetic Role in PD
      • Advances in PD
      • Genetic Link to PD
      • Exercise and improved executive Functioning with PD
      • Exercise and Fall Prevention with PD
      • Intimacy and PD
      • spinal cord neuroprosthesis and PD
      • Advance Care Planning and PD
      • Cognitive Impairment Treatment PD
      • Mercury and PD
      • Cognitive Remediation Therapy
      • COVID Vulnerability and PD
      • Postural Instability Severity PD
      • Early Trial for Treatment Shows Promise
      • Biomarker Found
      • Therapeutic Benefits of Dance
      • Ultrasound Therapy for PD
      • Improvisational Theatre for PD
      • PD Detection using AI and Breathing Patterns
      • ALTERNATIVE MOVEMENT EXERCISE
      • NON INVASIVE TREATMENT R-TMS
      • Group Therapy
      • Multidisciplinary Approach to PD
      • VIBRATING GLOVE SHOWES PROMISE
      • Prevalence of PD Underestimated
      • Differences in Men and Women with PD
      • Intermittent Fasting for PD
      • Meditation and Complementary Therapy for PD
      • Cognitive Impairment and PD
      • Aerobic Exercise Alters Brain Function in PD
      • A-Synuclein Biomarker
      • Mediterranean Diet for PD
      • Regular Exercise Improve PD Quality of Life
    • Videos of PD Talks
    • Info about PD >
      • Parkinson Disease in Florida
      • 10 things to know about PD
      • More About PD
  • Members Only
  • Programs & Events
    • Sample Calendar of Activities
    • Movement Classes
    • Support Groups
    • Speech & Music
    • Just for Fun Wellness Classes
    • Education Programs
    • Caregiver Programs
    • EARLY ONSET PD
    • Lunch Bunch
    • Events >
      • Bingo for Bags and Baubles >
        • Bingo for Bags and Baubles Sponsorships
        • Bingo for Bags and Baubles Sponsorships
      • Mingle & Share a PD Resource Fair
      • Step Up for PD Walk >
        • REGISTER TO WALK - INDIVIDUALS & TEAMS
        • FUNDRAISE FOR THE WALK
        • Support a Walker
        • Parkinsons Walk FAQ
      • Education Symposium
      • A Step Forward Overcoming Obstacles Luncheon >
        • A Step Forward Live Auction 2026
  • About Us
    • Our Mission
    • Board of Directors
    • Staff
    • News/Press >
      • 2023-24 Board Announced
    • Blog
  • Become a Member
    • Complete a Participation Waiver
  • GET INVOLVED
    • PD 101 Free Sign Up
    • ENEWS SIGN UP
    • Contact us
  • DONATE
    • PARKINSONS AWARENESS MONTH GIVING
    • ANNUAL FUND
    • IN HONOR
    • IN MEMORY
    • Planned Giving
    • Our Giving Society
  • Home
    • Hurricane Resources
  • Living Well with PD
    • Living Well with PD Parksinsons Awareness
    • PD 101 Free Sign Up Learn More
    • April is Parkinson's Awareness Month
    • Start Here for the Newly Diagnosed
    • Community Resources >
      • Community Support Initiatives
      • Movement Disorder Specialists and Neurologists
      • Additional Classes in SWFL for PD
      • Additional SWFL resources for PD
    • Participate in a PD Study
    • Articles & Research on PD >
      • GOLF COURSE PROXIMITY AND INCREASED RISK FOR PD
      • Social Support Improves PD Symptoms
      • Exercise Improves PD Outcomes
      • Genetic Role in PD
      • Advances in PD
      • Genetic Link to PD
      • Exercise and improved executive Functioning with PD
      • Exercise and Fall Prevention with PD
      • Intimacy and PD
      • spinal cord neuroprosthesis and PD
      • Advance Care Planning and PD
      • Cognitive Impairment Treatment PD
      • Mercury and PD
      • Cognitive Remediation Therapy
      • COVID Vulnerability and PD
      • Postural Instability Severity PD
      • Early Trial for Treatment Shows Promise
      • Biomarker Found
      • Therapeutic Benefits of Dance
      • Ultrasound Therapy for PD
      • Improvisational Theatre for PD
      • PD Detection using AI and Breathing Patterns
      • ALTERNATIVE MOVEMENT EXERCISE
      • NON INVASIVE TREATMENT R-TMS
      • Group Therapy
      • Multidisciplinary Approach to PD
      • VIBRATING GLOVE SHOWES PROMISE
      • Prevalence of PD Underestimated
      • Differences in Men and Women with PD
      • Intermittent Fasting for PD
      • Meditation and Complementary Therapy for PD
      • Cognitive Impairment and PD
      • Aerobic Exercise Alters Brain Function in PD
      • A-Synuclein Biomarker
      • Mediterranean Diet for PD
      • Regular Exercise Improve PD Quality of Life
    • Videos of PD Talks
    • Info about PD >
      • Parkinson Disease in Florida
      • 10 things to know about PD
      • More About PD
  • Members Only
  • Programs & Events
    • Sample Calendar of Activities
    • Movement Classes
    • Support Groups
    • Speech & Music
    • Just for Fun Wellness Classes
    • Education Programs
    • Caregiver Programs
    • EARLY ONSET PD
    • Lunch Bunch
    • Events >
      • Bingo for Bags and Baubles >
        • Bingo for Bags and Baubles Sponsorships
        • Bingo for Bags and Baubles Sponsorships
      • Mingle & Share a PD Resource Fair
      • Step Up for PD Walk >
        • REGISTER TO WALK - INDIVIDUALS & TEAMS
        • FUNDRAISE FOR THE WALK
        • Support a Walker
        • Parkinsons Walk FAQ
      • Education Symposium
      • A Step Forward Overcoming Obstacles Luncheon >
        • A Step Forward Live Auction 2026
  • About Us
    • Our Mission
    • Board of Directors
    • Staff
    • News/Press >
      • 2023-24 Board Announced
    • Blog
  • Become a Member
    • Complete a Participation Waiver
  • GET INVOLVED
    • PD 101 Free Sign Up
    • ENEWS SIGN UP
    • Contact us
  • DONATE
    • PARKINSONS AWARENESS MONTH GIVING
    • ANNUAL FUND
    • IN HONOR
    • IN MEMORY
    • Planned Giving
    • Our Giving Society

Parkinson's Association 
SWFL Blog

All blog posts are for general information only and not medical advice. Always consult your doctor about your health and treatment decisions.

How Ultrasound Is Changing Parkinson’s Treatment: Benefits, Candidates, and Risks Explained

4/20/2026

0 Comments

 
Picture
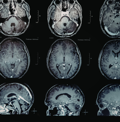
Parkinson’s disease treatment is evolving rapidly, and one of the most promising innovations is ultrasound-based therapy. For individuals seeking alternatives to medication or invasive surgery, this technology offers new hope. But how does it work—and is it right for everyone?

Here’s the surprising part: this procedure doesn’t require incisions, implants, or traditional brain surgery—yet it can significantly reduce tremors in some people with Parkinson’s. Understanding how it works could open the door to life-changing treatment options. Keep reading to learn more.
What Is Ultrasound Therapy for Parkinson’s?
Focused ultrasound—often called MR-guided focused ultrasound (MRgFUS)—is a non-invasive procedure that uses highly targeted sound waves to treat specific areas of the brain involved in movement control.
During the procedure:
  • Patients lie inside an MRI scanner
  • Doctors use imaging to precisely guide ultrasound waves
  • The waves create a small lesion in the brain area causing tremors
This disruption can reduce or even eliminate tremors, particularly on one side of the body.

How Does It Help Parkinson’s Symptoms?
Ultrasound therapy primarily targets tremors, one of the most common and disruptive symptoms of Parkinson’s disease. It may also help with:
  • Rigidity (muscle stiffness)
  • Slowness of movement (bradykinesia)
However, it is important to note that this treatment does not cure Parkinson’s or stop disease progression. It is a symptom-management tool.

Who Is a Candidate for Ultrasound Treatment?
​
Not everyone with Parkinson’s disease is a good candidate. Ideal candidates typically:
  • Have significant tremor symptoms not well controlled by medication
  • Are not good candidates for deep brain stimulation (DBS)
  • Prefer a non-invasive treatment option
  • Are generally in good overall health
Candidates must undergo careful screening, including imaging and neurological evaluation, to determine if this approach is appropriate.
Picture
What Are the Benefits?
Ultrasound therapy offers several advantages:
  • Non-invasive: No incisions or implanted devices
  • Immediate results: Many patients notice improvement during the procedure
  • Reduced recovery time: Most people go home the same day
  • Lower infection risk: Compared to surgical options
For the right person, these benefits can significantly improve quality of life.

What Are the Risks and Limitations?
While promising, focused ultrasound is not without risks:
  • Side effects: Temporary or permanent numbness, imbalance, or speech difficulties
  • One-sided treatment: Typically only performed on one side of the brain
  • Not reversible: Unlike DBS, the effects cannot be adjusted or reversed
  • Limited symptom relief: Does not address all Parkinson’s symptoms
Patients should carefully weigh these factors with their healthcare provider.

Is Ultrasound the Future of Parkinson’s Care?
​
Focused ultrasound represents an exciting step forward in Parkinson’s treatment. Ongoing research is exploring whether it can be used for additional symptoms and in earlier stages of the disease.
While it may not replace existing therapies, it expands the range of options available—giving patients more control over how they manage their condition.
Picture
Why Support Matters
A diagnosis of any form of Parkinson’s can feel overwhelming. But with the right support and resources, individuals can maintain independence, quality of life, and emotional well-being.
For resources, referrals, and support in navigating Parkinson’s and related conditions, contact the Parkinson’s Association of Southwest Florida at www.paswfl.org or call 239-417-3465.

For over 25 years, PASWFL has provided free, high-quality services and programs to individuals and families touched by Parkinson’s disease in Southwest Florida. Their goal is simple: help people live well with PD, regardless of where they are in their journey.
Each week, PASWFL offers more than 25 free programs and support groups, including:
  • Wellness and fitness classes
  • Speech Exercise classes
  • Educational seminars
  • Support for care partners
  • Support groups
There are no fees to become a member, and PASWFL welcomes anyone touched by PD.

​Take the First Step Toward Living Well
If you suspect early Parkinson’s or have been recently diagnosed, you don’t have to face it alone.
👉 Click here to sign up for the PASWFL newsletter
https://parkinsonassociationswfl.org/signup-enews.html
👉 Click here to become a member…it’s free and confidential
https://parkinsonassociationswfl.org/signup.html
To learn more, visit www.paswfl.org and discover the power of support, education, and community.
0 Comments

Your comment will be posted after it is approved.


Leave a Reply.

    Author

    Write something about yourself. No need to be fancy, just an overview.

    Archives

    May 2026
    April 2026
    March 2026
    February 2026
    January 2026
    December 2025
    November 2025
    October 2025
    September 2025
    August 2025
    July 2025
    June 2025
    May 2025
    April 2025
    March 2025
    November 2024
    September 2024
    August 2022
    August 2021
    January 2021
    July 2020
    June 2020
    May 2020

    Categories

    All
    How To Diagnose Parkinson's Disease
    How To Manage Parkinson's Disease
    What Is Parkinson's Disease

    RSS Feed

Parkinson's Association of Southwest Florida 
2575 Northbrooke Plaza Drive
Suite#301, Naples, FL 34119
239-417-3465

[email protected]
​

Hours of Operation:
Monday - Thursday 9 am - 5 pm
Friday 9 am - 3 pm
Has the Parkinson's Association of Southwest Florida impacted your life? Don't forget to leave us a review on Facebook or on Google. 

PASWFL Office

Terms of Use and Privacy Policy

Become a Member

Picture